1410 MO-72

Rolla, MO

Today's Hours

(573) 364-8086

Call us now!

Headaches and Neck Pain

Migraine Headache Care.

Conservative care of Migraine Headaches with Chiropractic.

Are you tired of suffering from debilitating migraine headaches? Have you tried various treatments with little to no relief? Even if you have tried chiropractic care in the past. Look no further! Dr. David Moreland, a board-certified chiropractor with 30 years of experience, offers exceptional care for migraine headaches in Rolla, MO.

Dr. Moreland is a distinguished member of the American Chiropractic Board of Sports Physicians, showcasing his commitment to excellence and expertise in chiropractic care. His dedication to providing top-notch treatment has made him a trusted name in the field of chiropractic medicine.

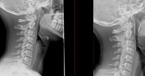
Many individuals who suffer from migraines find relief through chiropractic care. Dr. Moreland employs a holistic approach to treatment, focusing on the root cause of the problem rather than just masking the symptoms. Through gentle adjustments and targeted therapies, he aims to restore proper alignment and function to the spine, alleviating the underlying issues that can contribute to migraine headaches. Dr. Moreland focuses on restoring the normal lordotic curve of the cervical spine to help relieve headaches and neck pain.

Chiropractic care can help reduce muscle tension, improve blood flow and promote overall relaxation, all of which can be beneficial for migraine sufferers. Additionally, Dr. Moreland may recommend lifestyle changes and exercises to help prevent future episodes and improve your overall well-being. Dr. Moreland prefers to utilize McKenzie exercise techniques at home these benefit patients with headaches.

If you're ready to take control of your migraines and live a life free from pain, schedule an appointment with Dr. David Moreland today. Experience the difference that quality chiropractic care can make in your life!

Moreland Chiropractic Clinic Rolla Mo 573-364-8086 Dr-david.com

Email
March 29, 2024
Alpha-gal Syndrome